・骨折した側の肩、指を動かしておく ・三角巾を取り外して良いかを主治医に確認する ・退院のタイミングを聞いておく 手術後 ・いつまで肘を動かさずいるかを確認 ・固定していれば、いつまで固定しているかを確認 肘の骨折の4つの症状手術方法やリハビリの治療期間をチェック 16年11月22日 体が痛い, 手の痛みや違和感 ツイート <監修柔道整復師 岡部大輔> 肘の骨折 は、小さい子供にはよく見られる症状です。 しかしきちんとどのような症状が出るか把握肘頭骨折は肘関節伸展機構の破綻を生じる。 受傷機序 直達外力によるものが多いが、肘屈曲位のまま転倒し、上腕三頭筋の収縮による介達外力でも生じる。 外力が強い場合は、橈骨頭骨折や肘関節脱臼の合併も生じる可能性がある。 肘頭骨折の治療ゴール
手肘骨折 Explore Facebook
肘 骨折 复健
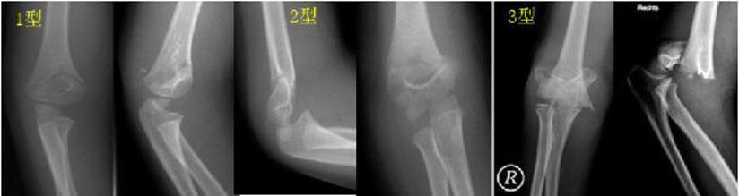
肘 骨折 复健-肘部管症候群 テニス肘(上腕骨外側上顆炎) 肘内障 上腕骨顆上骨折 野球肘 変形性肘関節症 前骨間神経麻痺・後骨間神経麻痺 尺骨神経麻痺3)肘関節脱臼骨折 高エネルギー外傷によることが多く,「肘関節脱臼」+「橈骨頸部骨折」+ 「尺骨鉤状突起骨折」の3つが合併したものをterrible triadと言います。尺 骨骨幹部骨折と橈骨頭脱臼を伴うものはMonteggia骨折で4型に分類され



肘关节骨折图片大全 搜狗图片搜索
この場合、外反肘を矯正する手術を受ける必要があります。 ※ 進行性外反肘と遅発性尺骨神経麻痺 上腕骨外顆骨折で変形治癒や偽関節を起こすと外顆部分の成長障害に至り、内顆側が成長するに連れて肘の外反(外側に反る変形)が徐々に進行していき 肘骨折の新着記事|アメーバブログ(アメブロ) リハビリ経過! 7/10 ☆Cyber World☆ 21年07月10日 1814 怪我してからもうすぐ2ヵ月 (;∀;)右肘の可動域もだいぶ良くなり、だいぶ真っすぐ伸ばせるようになりました。 完璧に伸ばせるようになるまで、あと10肘の構造 肘関節は上腕骨と前腕の2本の骨(尺骨と橈骨)により構成されています。 そのため肘関節には上腕骨と尺骨の関節(腕尺関節)、上腕骨と橈骨の関節(腕橈関節)、尺骨と橈骨の関節(腕尺関節)が含まれます。 この3つの関節により肘は曲げる・伸ばす・手のひらを上にしたり、下
肘の骨折とは 転倒したり、高いところから落下した時に手や肘を付くことで発症します。 子どもの転倒やスポーツでの転倒などで多く見られます。 肘の骨折の種類 肘の骨折の代表的なものは次のとおりです。肱骨远端骨折发生在肱骨下端,也是肘关节的一部分。 肱骨远端骨折通常是由于跌落时手臂外展或受到直接外力导致的。 肱骨远端骨折可能会损伤手臂动脉,导致关节出血,或损伤穿过肘部的神经,引起手部和手指麻木和活动问题。 医生根据体格检查和 X 光肘の痛み 上腕骨外上顆炎(テニス肘) 肘部管症候群 肘内障 変形性肘関節症 上腕骨顆上骨折 肘頭(ちゅうとう)疲労骨折 手の痛み 腱鞘炎 ばね指(弾発指) 手根管症候群 肘部管症候群 ドケルバン症 母
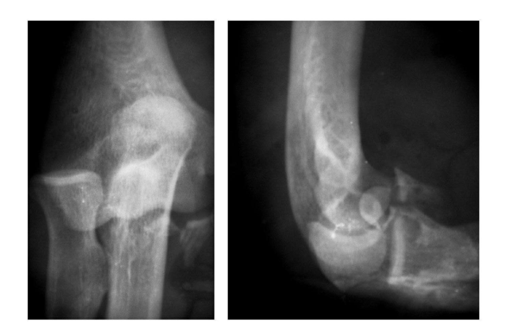
肘の骨折について 神奈川県藤沢市の整形外科 藤沢駅前 順リハビリ整形外科 お問い合わせ 医師2人体制で診療に当たっております。 土曜午後、日祝、年末年始を除き、 お盆なども休みなく診療を行っております。 インターネットでの予約で、希望の214 症例 肘関節不安定性を伴う肘頭骨折の手術治療経験 望月 貴夫1),山本 真一2) 1)武蔵野赤十字病院整形外科 2)横浜労災病院手・末梢神経外科 (平成29年3月31日受付・特急掲載) 要旨:肘頭骨折は,肘関節周辺骨折の中では頻度が高く,関節内骨折であるため関節面の整復と肘関節脱臼 骨折はその治療において, 合併骨折時に関節内 骨折の処置や軟部組織の処置ばかりでなく, 後 療法や合併する神経麻痺の予後など多くの問題 をふくんでいる 今回, 我々は昭和63年4月 よ り約6年 間に腕尺関節の脱臼に骨折を合併した



骨大夫



小儿肘部骨折术后如何进行康复锻炼 小儿骨折
娘が骨折してギプス生活中の春野菜(@haruyasai_11)です。 先日娘が転んだあと激しく泣いて、慌てて救急病院へ行きました。 救急病院の先生が徒手整復を試みると、靭帯が戻った感触があり レントゲンでも骨の異常がない とのこと。 診断結果は「肘内障」でした。 肘関節は、関節包の間に3つの関節体を持っており、 上腕骨と橈骨の間にある関節を・・・ 腕橈関節 上腕骨と尺骨の間にある関節を・・・ 腕尺関節 橈骨と尺骨の近位間にある関節を・・・ 上橈尺関節 といい、この3つを合わせ複合関節体といいます。 手首 久しぶりの骨折各論です。 今回は年頃のお子さんをお持ちの方が、もしかしたら遭遇するかもしれない肘関節の骨折になります。 その中でも最も多い上腕骨カジョウ骨折について説明します。 受傷機転として多いのは、転倒して手をついた、うんていから落ちて手をついた、肘を直接



骨哥小教室 認識肘部骨折 骨哥論壇



肘关节骨折图片大全 搜狗图片搜索
肘をついて転倒すると骨折しやすい「肘頭」という部分があります。 読み方は肘頭骨折「ちゅうとうこっせつ」です。 この肘頭部の骨折では手術後のリハビリが上手くいかず、 肘の関節が固まって動かなくなる事が非常に多い場所 です。 肘が固まってしまい、少ししか動かない状態で悩キックボードで転倒、肘を強打し受傷したケース 脱臼を整復し(元に戻し)、専用の金属プレートとスクリューで固定(骨接合) 橈骨がはずれて(脱臼して)し まっている 尺骨がばらばら(粉砕骨折)に なっている 肘関節粉砕骨折 観血的整復・骨接合術後ひじ周辺の骨折 に関するみんなの病気・けが体験談 投稿日時18年04月25日 1306 肘の骨折(子供) 会員 投稿日時17年11月23日 1049 若木骨折 会員 投稿日時17年06月11日 1527 公園で転んでひじを骨折しました 会員



儿童胳膊肘骨折图片 搜狗图片搜索



肘关节造影术在儿童肱骨外髁骨折中的应用 健康号 微医
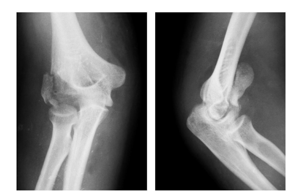
肘関節の伸展筋である上腕三頭筋が腱となって付着する部位でもあります。 「肘頭骨折」の原因は? 「肘頭骨折」の受傷起点としては、 転倒によって生じる ものが大半を占めます。 その中でも、 ・肘頭部を強打することによって生じる "直逹外力" 、



專業手術 職業運動員的手肘骨折 骨科蔡依樽醫師 親切 專業 更用心 台中



7种肘部损伤x片详细图解 腾讯新闻



张权教授教你如何治疗肘关节骨折脱位



女童跌倒撐地手肘骨折變形醫 骨折勿亂 喬 以免錯過最佳治療期 即時新聞 自由健康網



Ppt 儿童肘关节骨折的x线表现 影像ppt



桡骨头骨折 恢复肘关节功能哪种手术优势尽显 Medsci Cn



手肘骨折库存图片 图片包括有概要 办公室 张力 可及性 综合症状 抽疯 轰炸机 矫形



孩子手肘骨折一个月了恳请各位帮忙 谢 第二人生



肘關節強直 主要的病因和肘關節骨折 以及肘關節的感染等



能屈能伸 肘部骨折术后功能障碍常见原因 一 关节 手术 软组织 网易订阅



14岁女孩肘关节受伤 小大夫看不到骨折 最终老大夫经验起了作用



手肘骨折 Explore Facebook



醫病 小四男童被鞋帶絆倒手肘粉碎性骨折 即時新聞 自由健康網



这是儿童肘关节脱位吗 肱骨远端经骺骨折 雪花新闻



疾病诊断 肱骨髁上骨折



肘关节x线解剖及常见骨折诊断 基础必备 好医术早读文章 好医术 赋能医生守护生命



7种肘部损伤x片详细图解 壹读



肘关节前脱位合并尺骨鹰嘴及冠状突骨折1例 Medsci Cn



兒童常見意外 跌倒 手肘變形骨折 家長別做一件事 健康 三立新聞網setn Com



儿童手肘骨折手术后对手部功能有何影响 时习社区



盘点骨科四肢创伤的那些 坑



儿童肘关节骨折怎么办 每日头条



病例精选 肘关节骨折orif术后感染 内固定物取出还是保留



这是儿童肘关节脱位吗 肱骨远端经骺骨折 雪花新闻



福建泉州考试院回应 考生骑车摔伤错失高考 手肘骨折 只能明年再来 新浪新闻



胳膊肘骨折 万图壁纸网



骨折后 肘关节僵硬 别担心 正骨医师有 良方 福建中医药大学附属泉州市正骨医院



疾病诊断 肱骨髁上骨折



肘关节骨折 手术后夜间睡不着 骨科与显微外科专业讨论版 爱爱医医学论坛



7种肘部损伤x片详细图解 腾讯新闻



别让肘关节骨折留下不良后遗症 喜洛玛



儿童肘骨折



儿童肘关节骨折 腾讯新闻



手肘骨折 打了23天石膏 肿的很大 弯曲的感觉骨头卡住了 咋办 知天下



肘内翻不痛不痒 需不需要治疗 凤凰网



经肘关节前侧入路治疗尺骨冠状突前内侧面骨折疗效观察 中国修复重建外科杂志 唯一官网



骨哥小教室 認識肘部骨折 骨哥論壇



肘頭骨折 一般社団法人 日本骨折治療学会 骨折の解説



肘关节粉碎性骨折的康复 知乎



骨哥小教室 認識肘部骨折 骨哥論壇



儿童肱骨髁上骨折 父母需要知道的事情 健康号 微医



肱骨内上髁骨折 医学百科网



能屈能伸 肘部骨折术后功能障碍及康复训练 二 关节 肿胀 炎症 网易订阅



棒球肘诊疗分析与运动康复 肱骨内上髁撕脱骨折 哔哩哔哩



积水潭医院创伤骨科治疗技术 肘关节骨折 蒋协远 公茂琪 摘要书评试读 京东图书



一篇搞定 成人肘关节骨折脱位的治疗



1



肘关节骨折 肱骨外髁骨折 肱骨骨折



2pm成员jun K右臂骨折基本痊愈钢钉已被取出 Jun K 2pm 骨折 新浪娱乐 新浪网



膜肘骨折内上髁肱骨及内固定支柱库存图片 图片包括有经纪 医疗 诊断 医院 考试 健康



胳膊肘骨折图片 万图壁纸网



胳膊肘骨折的症状 图片欣赏中心 急不急图文 Jpjww Com



傳球過猛青少棒投手手肘撕脫骨折 華人今日網chinesedaily News



我怎样治疗肘部骨折 Treat An Elbow Fracture Iiiff互动问答平台



看到这些骨折 小心被套路了 急诊中遇到的3个骨折病例 知乎



肱骨内上髁骨折 A 医学百科



肘部骨折elbowfractures 小儿骨折



肱骨外髁骨折是什么病 如何来的诊断与治疗的 肱骨骨折



广州肘关节恐怖三联征常见病因和处理简要 知乎



肘关节粉碎性骨折的康复 知乎



私人订制的康复计划 让肘关节意外骨折后的她又能重新曲展手臂 女士



胳膊肘骨折后伸不了 西瓜视频搜索



手肘骨折 Explore Facebook



尺骨鹰嘴骨折块较小最经典治疗技术是什么 Medsci



肱骨小头骨折 国友堂中医院骨科



桡骨头骨折 恢复肘关节功能哪种手术优势尽显 Medsci Cn



肘关节骨折脱位 我们该如何正确诊治 好医术早读文章 好医术 赋能医生守护生命



膜肘骨折肱骨远端骨库存图片 图片包括有前臂 女主持人 医疗 医学 经纪 临床 痛苦



疾病诊断 肱骨小头骨折



儿童肘关节骨折 腾讯新闻



手肘关节脱臼 打上石膏后应该注意哪些事情 胳膊肘骨折打上石膏后



肘关节骨折x光图片 搜狗图片搜索



Ober 医用肘关节固定支具手肘部骨折扭伤康复肘关节韧带损伤护具左均码 图片价格品牌报价 京东



手肘骨折 万图壁纸网



影像基础 肘关节骨折的影像学诊断及分型 移位



手肘骨折库存图片 图片包括有压力 针灸师 苦难 创伤 韧带 医学 骨关节炎 痛苦 男人



X 线术后内固定肘骨折照片 正版商用图片0up7yi 摄图新视界



创伤 肘关节骨折 肱骨髁上 的微创治疗



家长讳疾忌医导致孩子手臂畸形 现在后悔莫及 壹读



1



肘关节骨折脱位 医联



少棒選手傳球過猛 趴 手肘骨折



头条文章



盘点骨科四肢创伤的那些 坑



肘关节粉碎性骨折 知乎



肘部骨折 问上医



骨科医师之家



肘关节x线解剖及常见骨折诊断 基础必备 好医术早读文章 好医术 赋能医生守护生命



手肘骨折库存照片 图片包括有健康 关心 男性 肌肉 创伤 炎症 按摩 骨关节炎 男人



儿童常见肘关节骨折 中国医疗



鹰嘴骨折 肘部骨折 疾病 21



X 线术后内固定肘骨折照片 正版商用图片0up7yi 摄图新视界



男人肘部疼痛肘关节损坏 骨折或扭伤手部损伤与屈曲疼痛概念库存照片 图片包括有治疗 背包



5岁小儿 肘部的肱骨髁上无明显移位骨折 易漏诊 平安健康



肘部的肿胀压痛 肘部的肿胀压痛的治疗 肘部的肿胀压痛的原因 肘部的肿胀压痛怎么办 症状百科



肘关节僵硬诊断及治疗的专家共识 骨折 松解 软组织 网易订阅


0 件のコメント:
コメントを投稿